Common Problems

Orthodontic problems can affect anyone – in fact, our teeth are almost never naturally perfect. Malocclusion, or a “bad bite”, can cause problems with chewing, oral hygiene, speaking and aesthetics. A bad bite can be genetic, or can be caused by thumb sucking, dental disease, poor dental hygiene, accidents, birth defects or other medical conditions.

Being educated about the orthodontic problem you or your child may have is the first step to correcting it. Orthodontic treatment performed by [drfullname] can improve both the functionality of your bite and the appearance of your smile.

Below are some examples of the most common orthodontic problems.

 

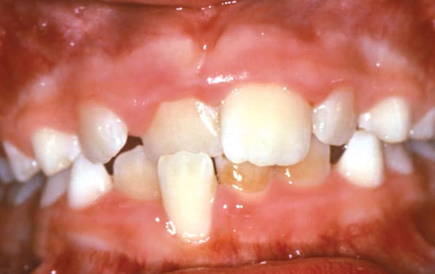
Upper Front Teeth Protrusion

The appearance and function of your teeth are impacted by this type of bite. It is characterized by the upper teeth extending too far forward or the lower teeth not extending far enough forward.

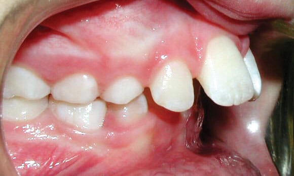
Overbite

The upper front teeth extend out over the lower front teeth, sometimes causing the lower front teeth to bite into the roof of the mouth.

Crossbite

The upper teeth sit inside the lower teeth, which may cause tooth stratification and misaligned jaw growth.

Openbite

Proper chewing is impacted by this type of bite, in which the upper and lower front teeth do not overlap. Openbite may cause a number of unwanted habits, such as tongue thrusting.

Crowding

Crowding occurs when teeth have insufficient room to erupt from the gum. Crowding can often be corrected by expansion, and many times, tooth removal can be avoided.

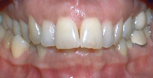
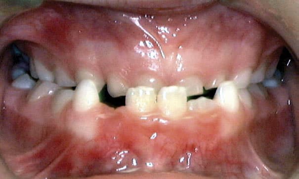
Spacing

Spacing problems may be caused by missing teeth, or they may only be a cosmetic or aesthetic issue.

 

Underbite

In an underbite, the lower jaw extends out, causing the lower front teeth to sit in the front of the upper front teeth.

Girl with braces Team Demas Orthodontics in Southington, CT